We guarantee the quality of our work under normal circumstances.
The conditions of the warranty include a commitment from the patient to:
Coverage is not available for lost appliances or damage to dental work as a result of trauma or misuse.
100% subsidized in 3 years
75% subsidized in 3-4 years
50% subsidized after 5 years for lifetime
100% subsidized in 3 years
75% subsidized in 3-4 years
50% subsidized in 4-5 years
3D dental imaging is well on its way to become the new standard of dental care. This incredible technological advancement allows dentists to see your mouth in a way never previously possible with X-ray or medical CT scan technology. 3D dental imaging allows them to see your teeth and skull, diagnose any problems and provide more effective treatment for you.
To better understand what 3D dental imaging is, what it has done for the dental industry and what it can do for you and your dental care, we’ll walk you through the incredible machine that makes it possible.
Clinical utility of dental cone-beam computed tomography: current perspectives
Prashant P Jaju, Sushma P Jaju
Clin Cosmet Investig Dent. 2014; 6: 29–43. Published online 2014 Apr 2. doi: 10.2147/CCIDE.S41621
PMCID: MC3979889



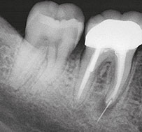
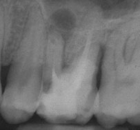
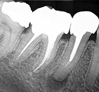
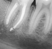
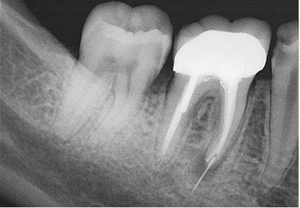
Breakage of endodontic files during treatment can result in serious complications and jeopardize the outcome of treatment. When using nickel-titanium (Ni-Ti) files, prevention of file breakage is complicated by the fact that these files rarely demonstrate visible evidence of cyclic fatigue and torsional stress and do not show wear before breakage.1 In the event that a file does break, removal can be difficult due to anatomical considerations, and the long-term prognosis of the tooth can become guarded.
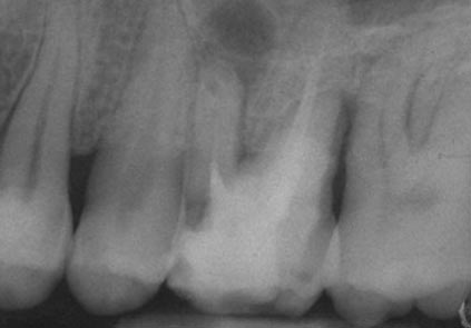
An unfinished root canal will eventually cause many problems. The most common complication is that the tooth will begin to cause pain. There is also a risk that the tooth may fracture or cause a potentially dangerous swelling of the gum.
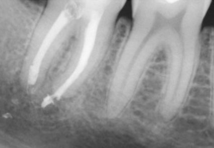
The greater the amount of uncleaned and unfilled canal space that remains after a root canal procedure, the greater failure rate. The challenge for clinicians is to decide to what point endodontic obturation should be directed in the given procedure. Cleaning, shaping and obturating less than the entire root canal space has the potential to or certainly could leave uncleaned and unfilled space, especially if the root is obturated to levels determined by arbitrary anatomic averages and not the true apical foramen.
Root canal overfills occur when a dentist is obturating (filling) a root canal. If the gutta percha(canal filling material) extrudes out the end of the root it is called an overfill. Sometimes, the gutta percha may have slipped through because it was not of sufficient diameter to bind at the apex. If a guttapercha that is too small is used, it can slip thru the tiny apical foramen (a hole at the tip of the root) and the resulting over fill may or may not form good seal . If the gutta percha does not adequately obturate (seal) the apex, then bacteria can repopulate any left over space. This bacterial colonization is most likely the actual cause of most endodontic failures associated with overfills.
WaveOne Reciprocation set a new standard in root canal shaping – allowing most cases to be shaped safely and efficiently with a single file. The metallurgy is now visibly enhanced with a gold thermal treatment – combined with an optimized cross section, tip diameter and taper, it delivers even greater flexibility, resistance to cyclic fatigue and cutting efficiency
Comparison of canal transportation and centering ability of
rotary protaper,
one shape system and wave one system using cone beam computed tomography: An in vitro study
Varsha Harshal Tambe, Pradnya Sunil Nagmode, Sathish Abraham, Mahendra Patait, Pratik Vinod Lahoti, Neha Jaju
J Conserv Dent. 2014 Nov-Dec; 17(6): 561–565. doi: 10.4103/0972-0707.144605
PMCID: PMC4252931
There's no denying the natural abilities of GuttaCore. After heated, it flows and follows the natural anatomy of the root canal system. Simply put, it travels into areas where traditional cold gutta-percha stops. Move your obturation in the right direction. Go with GuttaCore.
GuttaCore obturators are designed to easily create post space. The crosslinked gutta-percha core removes easily* and the handle can be removed by bending to either side of the canal wall.
Sealing efficacy of system B versus Thermafil and Guttacore obturation
techniques evidenced by scintigraphic analysis
Manuel Marques-Ferreira, Margarida Abrantes, Hugo-Diogo Ferreira,
Francisco Caramelo, Maria-Filomena Botelho, Eunice-Virgínia Carrilho
J Clin Exp Dent. 2017 Jan; 9(1): e56–e60. Published online 2017 Jan 1. doi: 10.4317/jced.52889
PMCID: PMC5268114
You might feel the unpleasant smell or taste when you were experiencing an old dental impression before. The impression material doesn’t not have flavor added, but you could sense the natural flavor of impression material lasts. Also, patient gagging fears is a serious and very real problem to us. The American Dental Association reported that 7.5% of patients almost-always gag when they visit a dentist and people are afraid to go to the dentist.
WE ARE JUST SCANNING YOUR MOUTH,
AND THE CROWN IS MADE!
The digital intraoral scanner provides very accurate impression of your mouth because it is not necessary anymore to repeat several steps such as taking impression, picked up by dental labs, pouring into a stone cast model, scanning the model and making crown. The more steps or the more complicated procedure, the higher chance of mistakes. It’s not fun to come back to the dentistry and take impressions over and over. The accuracy of digital impressions and the resulting crowns means a much better fitting restoration. The accuracy also cuts down on the need for remakes. So patient-visits are quicker and they don’t have to come back for adjustments. Taking digital impressions is more comfortable for patients. It is so much faster to digitally scan a mouth. It goes by so quick and there’s no plastic gooey mess.
Comparison of digital and conventional impression techniques:
evaluation of
patients’ perception, treatment comfort,
effectiveness and clinical outcomes
Emir Yuzbasioglu, Hanefi Kurt, Rana Turunc, Halenur Bilir
BMC Oral Health. 2014; 14: 10. Published online 2014 Jan 30. doi: 10.1186/1472-6831-14-10
PMCID: PMC3913616
PIEZO-ELECTRIC SCALER
More frequency to clean better, but less vibration due to linear moving motion of tip.
It is the technology to make teeth cleaning less painful.
Piezo-electric technology operates at 28,000 to 36,000 cycles/second. The tip moves in a back-and-forth motion and works along the side of the tooth, shaving off calculus and debris. Here the handpiece, rather than the instrument tip, is activated.
The use of ultrasonic devices has dramatically improved the practice of supragingival scaling and periodontal debridement. Although ultrasonic technology has been around for decades, improvements in recent years have allowed its use to become mainstream. Ultrasonic technology in general, whether magnetostrictive (long inserts with metal rods that flex) or piezo-electric (small tips that screw onto the handpiece), and sonic scalers to a lesser degree, offer several advantages over hand scaling:
- decreased treatment time, especially with heavy deposits, leaving more time for patient education or procedures such as placement of chemotherapeutic agents
- more efficient removal of dental plaque and calculi with ultrasonic instrumentation
- ultrasonic tip spray promotes elimination of dental plaque and the radicular surfaces of bacterial endotoxins while preserving the cementum
- less tissue trauma due to no sharp cutting edges
- water provides continuous tissue lavage, thereby reducing the need for rinsing during scaling, since the water flow allows for high visibility throughout the procedure; this lavage also increases tissue comfort for the patient during and after the procedure
- patients experience a higher level of comfort; the entire procedure is endured more easily.
Ultrasonic scalers: clinical use and benefits.
Voller RJ1.
Dent Today. 2006 Feb;25(2):82, 84.
PMID: 16538892
GENDEX GXS-700
Utilizing the latest sensor technology, the GXS-700 system delivers
real-time images of truly amazing clarity and detail — greatly supporting
diagnosis and treatment. Easily capture high definition
images of both horizontal and vertical bitewings, as well as effortlessly
capture challenging areas such as third molars and long-rooted canines.
WHAT IS THE ADVANTAGE OF DIGITAL RADIOGRAPHY?
First and foremost, digital radiography reduces my patient’s exposure to radiation—usually 70 to 80 percent. Many patients are very relieved that digital radiology significantly lowers the amount of radiation they will receive.
In addition, there is no chemical processing of the x-rays, eliminating the inconvenience and environmental impact associated with disposal of conventional film developers.
Thirdly, digital X-rays facilitate communication with patients as well as other practitioners. The digital images are immediately available to view. Using current technology, it is very easy to enhance, enlarge, or refine the X-ray images. Brightness, color and/or contrast of digital X-rays can be adjusted without re-exposing the patient for another film. Patients are now able to view their X-rays instantaneously on the computer monitor screens located in each operatory.
One of the most useful advantages, is that I can send the digital image to other doctors in a few minutes. Often, while a patient is still seated in the dental chair, I can call other referring doctors to discuss their treatment plan. This can understandably save time for both patients and doctors alike.
Finally, digital X-ray images can be stored in each patient’s database on the computer. This process saves time and allows to easily retrieve this information when necessary.
Better imaging: the advantages of digital radiography.
van der Stelt PF1.
J Am Dent Assoc. 2008 Jun;139 Suppl:7S-13S.
PMID:18539866
We understand it can be difficult to keep your jaw open for a long period of time. We try to make our patients feel as comfortable as possible during our procedures and treatments.
All the operating rooms in 5 Star Dental have individual nitrous oxide system with digital flowmeter. The “lauging gas” is a safe and effective sedative agent that is mixed with oxygen and inhaled through a small mask that fits over your nose to help you relax. It will relieve your nerves and make you feel less pain during dental procedures.
You will feel maximum comfort in our high-quality Quolis Q-5000 dental chairs. These seats have ultra leather upholstery, a seat positioning system that smoothly and gently glides patients into desired treatment position; thereby reducing patient stress and anxiety with ultra reliable Belmont electro-hydraulic operating system. The synchronous movement of the backrest and seat perfectly fits the patient’s natural body motion and an articulating dual axis headrest that accommodates the anatomy of each patient.
Are you too nervous to visit the dentist? We understand. Here at 5 Star Dental, we will make sure you receive pain-free dentistry.
Our new, panoramic radiographic machine requires little to no special preparation and uses a very small dose of ionizing radiation to capture the entire mouth in one image for the full mouth diagnosis.
We are happy to offer our complimentary services including a TV multimedia system, beverage station, and Playstation in the kids’ zone.While most dentists sometimes require you to go to different places for more x-rays, we bring our portable x-ray machine to you. The safe, zero-leakage design makes the portable MaxRay safe as well.